028 276 63808

info@causewaydental.com

dental implants north coast ireland

Clever and Discreet

WHITE FILLINGS

Do you have discoloured teeth?

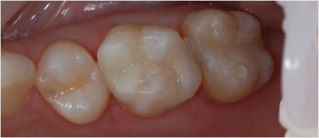
Unlike traditional amalgam fillings which contain mercury and can be potentially toxic, white fillings are made from natural looking materials and, when combined with enamel and dentin bonding techniques, can help restore damaged teeth and give them a more natural look and feel that can last for many years.

These more aesthetically pleasing fillings are now the norm in modern dentistry and can be used as an alternative, or to replace, amalgam fillings.

In cases of large cavities we may recommend a ceramic restoration from our state-of-the-art in-house CEREC system

VIEW TREATMENT FEES

Got a question about white fillings?

We have some FAQs below but please feel free to chat with one of our team if you would like to find out more.

028 276 63808 or email us here info@causewaydental.com


GET IN TOUCH

THE RESULTS

Before Treatment

dental implants northern ireland

After Treatment

dental implants northern ireland

Before Treatment

dental implants northern ireland

After Treatment

dental implants northern ireland

FIND OUT MORE ABOUT OUR WHITE FILLINGS TREATMENTS

FAQs & AFTERCARE ADVICE

MORE ABOUT OUR WHITE FILLINGS TREATMENT

FAQs

We would love to help you through your white filling journey.

You can contact us on 028 276 63808
Or
email us here info@causewaydental.com
Or
you can fill in our online form at the bottom of this page. Just click the button below.

FILL IN OUR ONLINE FORM

ARE THERE ANY ADVANTAGES TO WHITE FILLINGS?
White fillings are made from non-toxic and therefore safer materials, are much less noticeable and can be shaped and contoured to look more like your natural teeth- unlike amalgam fillings which are grey and contain toxic metal.

WILL I HAVE ANY DISCOMFORT?
There is a very slight chance you will experience some mild sensitivity for a few days after the procedure but it usually settles down on its own. You can manage any discomfort with an over the counter pain killer such as paracetamol or ibuprofen. However, the majority of people experience no discomfort whatsoever.

ARE WHITE FILLINGS REALLY LESS NOTICEABLE?
We use only the best quality composite materials in our white fillings and our highly trained dentists use advanced techniques to restore your tooth to its original shape and contour. The amazing end result is that they’re practically invisible!

Advice for Aftercare
The effects of the local anaesthetic lasts for 3-4 hours. To avoid damaging your cheeks, tongue and lips avoid chewing and hot drinks until the numbness wears off.

It is normal to experience some sensitivity to heat, cold and pressure following this treatment. You may also have some soreness in your gums for a few days. Rinsing your mouth with warm salty water will help alleviate any discomfort. We also suggest using Sensodyne Toothpaste™ or another desensitising toothpaste.

White fillings and porcelain inlays set completely immediately. You can eat normally as soon as any numbness wears off.

If your bite feels uneven or if you have any concerns about your new filling please give us a call.

GET IN TOUCH

Please fill in your details below and a member of our team will be in touch with you shortly. We look forward to seeing you soon.



OPENING HOURS

Monday
9am-5:30pm
Tuesday
9am-7:00pm
Wednesday
9am-5:30pm
Thursday
9am-5:30pm
Friday
9am-4:30pm

Become A Member Of Our Family

If you choose to become a regular Causeway Dental patient we offer a wonderful Membership Plan to make sure you get the most for your money.

MEMBERSHIP BENEFITS