028 276 63808

info@causewaydental.com

dental implants north coast ireland

The end result giving me a new lease of life


“I have recently had dental implants fitted with the end result giving me a new lease of life. I now have the freedom of enjoying any food I choose and socialising with complete confidence. The procedure, which was carried out under anaesthetic was totally pain free and I only needed to take a couple of pain killers after surgery more as a precautionary measure.

My finished implants look and feel like my own teeth, only better, and I am so happy to be able to smile with confidence again.

I cannot express enough my appreciation of the professional service and expertise I received from the Causeway Dental team.


F C – Belfast

The Implant Process
At A Glance

STEP 1
Your Initial Consultation

During your consultation we will perform a full dental exam, take x-rays and take impressions of your mouth to make sure implants are right for you. We have the latest 3D scanning technology to accurately plan out and perform your dental implant surgery. When we have the results we will discuss time-frames and cost- including financing options

STEP 2
Pre-Implant Treatments

If we found any issues during your consultation, such as gum disease or the need for a bone graft, we will need to treat these before we can place the implant. If a bone graft is needed you will need several months for the graft to heal before we can continue.

STEP 3
Placement And Integration

Once we’re happy with your oral health we implant the titanium screw into your jawbone. During this 1 - 2 hour procedure you will be given local anaesthetic so you won’t feel any pain. Dental sedation can also be used to help you relax during treatment. When the screw has been placed, you will need to let the jawbone heal fully around it which takes roughly 3 months. During this time, you’ll likely wear a temporary tooth (or teeth) to fill the empty space.

STEP 4
The Big Moment

When we’re happy that the screw has fully integrated into your jawbone we will fit you with your single crown, bridge or denture. All told, the process of getting an implant takes anywhere from 3 - 6 months.


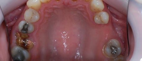
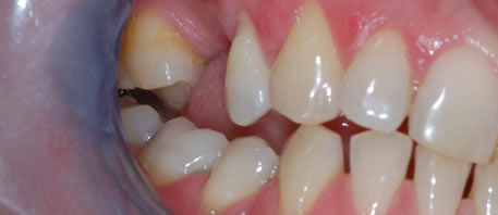
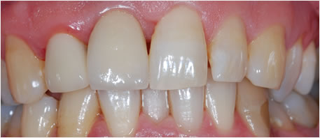
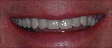
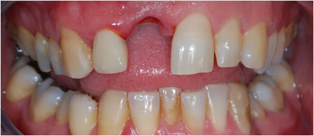
THE RESULTS

Before Dental Implant

dental implants northern ireland

After Dental Implant

dental implants northern ireland

Before Dental Implant

dental implants northern ireland

After Dental Implant

dental implants northern ireland

Before Dental Implant

dental implants northern ireland

After Dental Implant

dental implants northern ireland

Before Dental Implant

dental implants northern ireland

After Dental Implant

dental implants northern ireland

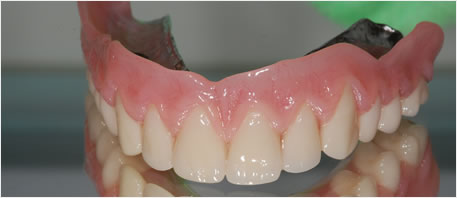
Denture Secured With Dental Implant

dental implants northern ireland

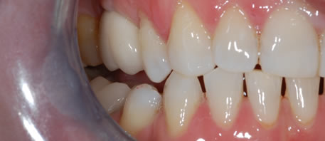
A perfect smile after Treatment

dental implants northern ireland
family dental practice ballymoney, ballycastle co. antrim family dental practice ballymoney, ballycastle co. antrim

Payments Made Easy

The cost of getting implants can vary, mostly depending on the number of implants needed or if any extra pre-treatments/procedures are required.

After your initial exam your dentist will give you a written estimate detailing the treatments and their costs.


VIEW MEMBERSHIP PLAN

FIND OUT MORE ABOUT OUR DENTAL IMPLANT TREATMENT

FAQs & AFTERCARE ADVICE

MORE ABOUT OUR DENTAL IMPLANT TREATMENT

FAQs

We would love to help you through your dental implant journey.

You can contact us on 028 276 63808
Or
email us here info@causewaydental.com
Or
you can fill in our online form at the bottom of this page. Just click the button below.

FILL IN OUR ONLINE FORM

IS A DENTAL IMPLANT RIGHT FOR ME?
Although implants are an amazing solution for lost teeth, they are not necessarily right for everyone.

Certain lifestyle choices- such as heavy smoking or heavy drinking- or for people with a history of gum problems may not be ideal candidates. Similarly, patients who grind their teeth excessively (bruxism) may not be suitable as the grinding will stop the implant from bonding properly to the jawbone.

HOW LONG WILL MY IMPLANT LAST?
If you look after your implant and your oral health carefully, your implant should last many, many years, if not a lifetime. Occasionally, your crown or denture may need to be replaced so we recommend scheduling regular maintenance appointments to stop any issues in their tracks.

AM I TOO YOUNG/OLD FOR IMPLANTS?
Implants can be placed in almost anyone whose jawbone has fully matured and stopped growing, which means they are not practical for young children. However, once the jawbone does stop growing there is no set age limit.

Advice for Aftercare
Care for your implants the same way you care for your natural teeth.

Floss and brush your teeth twice a day.

Regularly attend checkups and hygiene appointments.

Contact your dentist immediately with any issues.



Clean the sides of your dental implants with a TePe Interdental Brush

GET IN TOUCH

Please fill in your details below and a member of our team will be in touch with you shortly. We look forward to seeing you soon.



OPENING HOURS

Monday
9am-5:30pm
Tuesday
9am-7:00pm
Wednesday
9am-5:30pm
Thursday
9am-5:30pm
Friday
9am-4:30pm

Become A Member Of Our Family

If you choose to become a regular Causeway Dental patient we offer a wonderful Membership Plan to make sure you get the most for your money.

MEMBERSHIP BENEFITS